خونریزی جنینی-مادری (Fetal-Maternal Hemorrhage، FMH) حالتی است که در آن خون جنین به جریان خون مادر وارد میشود. این پدیده میتواند در هر مرحلهای از بارداری رخ دهد، اما اغلب در طول زایمان یا بلافاصله پس از آن مشاهده میشود. FMH معمولاً به مقادیر کم خون جنینی محدود میشود و اغلب بدون علامت است، اما در موارد نادر میتواند شدید باشد و خطراتی برای هر دو جنین و مادر ایجاد کند.
علل احتمالی خونریزی جنینی-مادری
- آسیبهای شکمی: ضربه یا آسیب به شکم مادر میتواند باعث پارگی جفت و ورود خون جنین به جریان خون مادر شود.
- روشهای پزشکی و جراحی: برخی از روشهای پزشکی مرتبط با بارداری، مانند آمنیوسنتز، نمونهبرداری از جفت (CVS)، یا جراحیهای داخل رحمی، میتوانند خطر FMH را افزایش دهند.
- انقباضات رحمی: انقباضات شدید رحمی، خصوصاً در طول زایمان، میتواند باعث فشار بر جفت و ورود خون جنین به جریان خون مادر شود.
- بیماریهای جفتی: بیماریهای مرتبط با جفت مانند جفت سرراهی یا جفت پریویا میتوانند خطر FMH را افزایش دهند.
- زایمان زودرس یا سخت: زایمانهایی که با مشکلاتی مانند وضعیت نامناسب جنین همراه هستند، میتوانند منجر به خونریزی جنینی-مادری شوند.
- تروما یا پارگی جفت: تروما به جفت یا پارگی آن، اغلب ناشی از آسیبهای فیزیکی، میتواند باعث خونریزی شود.
عوارض خونریزی جنینی مادری
- برای جنین: در موارد شدید، FMH میتواند منجر به کمخونی یا حتی مرگ جنین شود.
- برای مادر: اگر مادر Rh منفی و جنین Rh مثبت باشد، FMH میتواند باعث آلوایمنیسازی Rh شود، که در آن سیستم ایمنی مادر به خون جنین واکنش نشان داده و آنتیبادیهایی تولید میکند که میتوانند برای بارداریهای بعدی خطرناک باشند.
تشخیص خونریزی جنینی مادری
تشخیص FMH معمولاً از طریق تستهای مختلفی انجام میشود. یکی از بهترین و دقیق ترین این روش ها تست های فلوسایتومتری هست. اما تست های قدیمی مانند تست کلایهاور-بتکه نیز میتواند برای تشخیص این وضعیت انجام شود انجام میشود.
آزمایش کلایهاور-بتکه
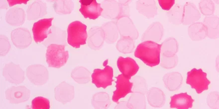
آزمایش کلایهاور-بتکه (Kleihauer-Betke test، به اختصار KB) یک روش سنتی و ساده است که برای تشخیص خونریزی جنینی-مادری (FMH)، یعنی ورود خون جنین به گردش خون مادر، به کار میرود. این آزمایش بر پایه تفاوت در مقاومت گلبولهای قرمز حاوی هموگلوبین جنینی (HbF) در برابر رنگآمیزی اسیدی قرار دارد.
اصول آزمایش کلایهاور بتکه
- نمونهبرداری: ابتدا یک نمونه خون محیطی از مادر گرفته میشود.
- رنگآمیزی: نمونه خون بر روی یک لام شیشهای پخش شده و پس از خشک شدن، با یک محلول اسیدی رنگآمیزی میشود. این محلول معمولاً شامل اسید ایلیزر (Elsiezer’s solution) است که یک محلول اسیدی مبتنی بر اسید استیک و کریستال ویولت است.
- تفاوت در مقاومت: هموگلوبین جنینی (HbF) در برابر این محلول اسیدی مقاومت بیشتری نسبت به هموگلوبین بالغ (HbA) نشان میدهد. بنابراین، گلبولهای قرمز حاوی HbF (گلبولهای قرمز جنینی) رنگشان را حفظ میکنند، در حالی که گلبولهای قرمز بالغ (حاوی HbA) رنگشان را از دست میدهند و شفاف به نظر میرسند.
- شمارش سلولهای رنگی: سپس گلبولهای قرمز رنگی (جنینی) و شفاف (بالغ) تحت میکروسکوپ شمارش و مقایسه میشوند.
تفسیر نتایج تست کلایهاور بتکه
- تعداد گلبولهای قرمز جنینی (رنگی) به عنوان درصد کل گلبولهای قرمز شمارش شده بیان میشود.
- این درصد به تخمین میزان خونریزی جنینی-مادری (حجم خون جنینی که وارد جریان خون مادر شده است) کمک میکند.
محدودیتهای تست KB
- دقت: دقت آزمایش کلایهاور-بتکه به مهارت فرد انجامدهنده وابسته است و ممکن است در مقادیر کم خونریزی دقیق نباشد.
- حساسیت: این تست در مقایسه با روشهای پیشرفتهتر مانند فلوسایتومتری کمتر حساس است.
با این حال، آزمایش کلایهاور-بتکه به دلیل سادگی و هزینه کم، هنوز هم به عنوان یک روش استاندارد برای تشخیص FMH در بسیاری از موارد استفاده میشود. این آزمایش به ویژه برای تشخیص خونریزیهای بزرگتر که ممکن است نیازمند مداخله فوری باشند، مناسب است.








